Skip to main content

Solução protética sem metal, Pilar AXA

  • Próteses totais sem componentes adicionais
  • Solução protética avançada facilita a tomada de moldes, reduzindo o tempo de consulta
  • Escolha o melhor ajuste entre diversas opções protéticas
  • Compatível com várias técnicas restauradoras, incluindo múltiplos casos e cimentação
O Pilar AXA permite uma operação simples sem cimentação em qualquer caso múltiplo
AXA Abutment
AXA Abutment
AXA Abutment
Estão disponíveis diversas opções protéticas

A prótese sem cimentação é possível em qualquer posição do implante, incluindo casos edêntulos, semi-densos e múltiplos!

AXA Abutment
AXA Abutment
AXA Abutment
AXA Abutment
AXA Abutment
AXA Abutment
Caso Clínico
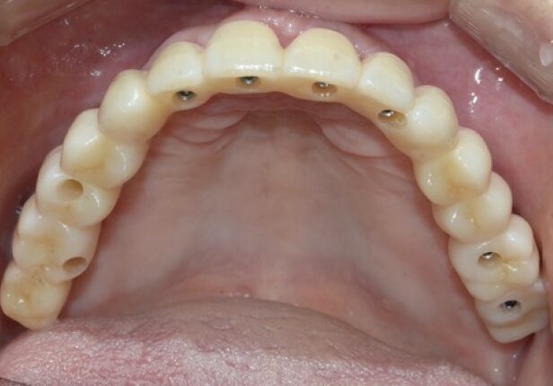
Caso Mandibular completo
caso de estudo

Antes da cirurgia

caso de estudo

Panorâmica pré-cirúrgica

caso de estudo

Colocação do implante

caso de estudo

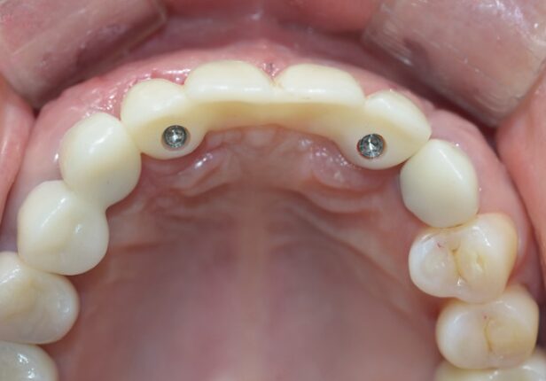
Posicionamento AXA

caso de estudo

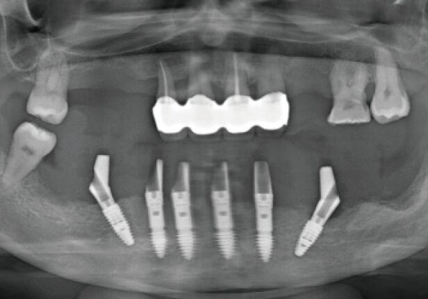
Panorâmica pós-cirúrgica

caso de estudo

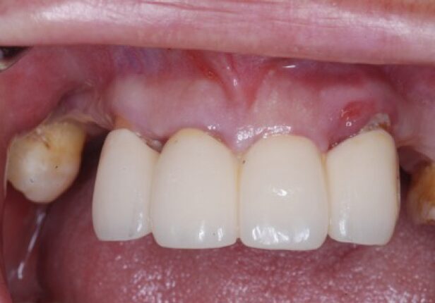
Coroa provisória logo após a colocação (1.ª: Capa)

caso de estudo

Coroa provisória após 1 mês (2.ª)

caso de estudo

Coroa provisória após 10 meses

Maxila - Caso completo
caso de estudo

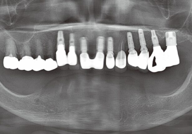
Panorâmica pré-cirúrgica

caso de estudo

Antes da cirurgia

caso de estudo

Colocação do implante

caso de estudo

Panorâmica pós-cirurgia

caso de estudo

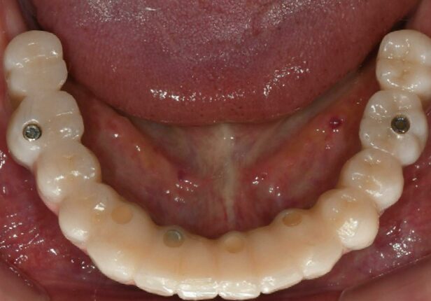
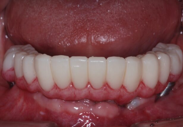
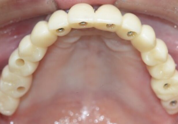
Coroa provisória

caso de estudo

Antes da colocação da coroa final

caso de estudo

Coroa Final

caso de estudo

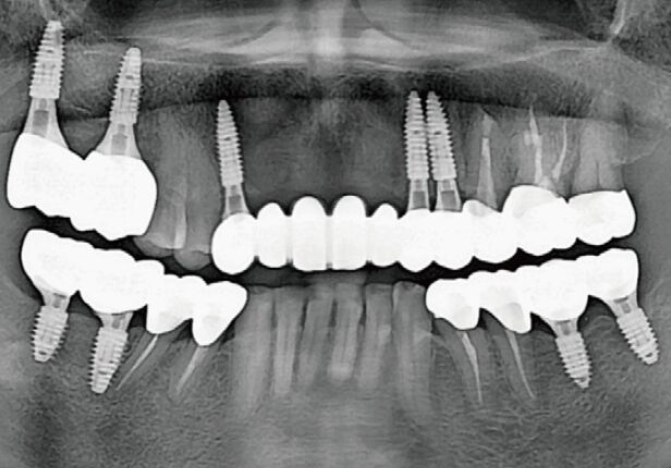
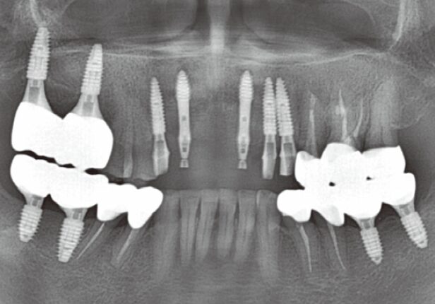
Panorâmica Final da Coroa

Ponte ARi caso de estudo
caso de estudo

Panorâmica pré-cirúrgica

caso de estudo

Antes da cirúrgia

caso de estudo

Colocação do implante

caso de estudo

Posicionamento AXA

caso de estudo

Scan

caso de estudo

Contorno

caso de estudo

Panorâmica Pós-Cirúrgia

caso de estudo

Coroa temporária após 1 mês

Pedir informações

Se ficou interessado neste produto, preencha o formulário abaixo para solicitar mais informações. Um dos nossos agentes comerciais entrará em contacto consigo em breve.

Please enable JavaScript in your browser to complete this form.

Fundada por dentistas e impulsionada por profissionais da área, as marcas MegaGen são respeitadas a nível mundial por estabelecerem novos padrões de qualidade nos tratamentos com implantes.

Contacte-nos

  • Rua Engº Ulrich 1991
    Piso 3 Sala H 4470-605 Maia
  • +351 220 907 033
  • info@imegagen.pt

© Desenvolvido por Dizain

© Desenvolvido por Dizain